
"Uradna medicina zavira praktično uporabo lingvistično-valovne genetike. Vendar se je temu mogoče izogniti. Potreben je le čas za izobraževanje in seznanjanje ljudi. Resnične potrebe ljudi so glavna gonilna sila lingvistično-valovne … · Sensa · 7M

Idilično okolje kampa Šobec, ki ga najdemo na poti na ali z Bleda, vsakemu obiskovalcu vzame dih. Prelepo urejena krajina, mrzlo jezero, ob katerem na sprehajalnih poteh ali travnikih uživajo … · Ekipa24 · 1L

Novo eksperimentalno zdravilo je življenjsko dobo miši "srednjih let" podaljšalo za kar 25 odstotkov. Znanstvenik, ki je vodil poskuse, pravi, da bi lahko delovalo tudi pri ljudeh. Številni drugi znanstveniki … · 24ur · 1L
zdravilo miši staranje starost eksperimentalno zdravilo objavi tvitaj

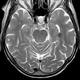
Avstralski zdravnik Richard Scolyer, ki se je pred letom dni podvrgel prvemu zdravljenju možganskega raka glioblastom, ostaja brez znakov te bolezni. Eksperimentalna terapija temelji na njegovem lastnem raziskovanju kožnega raka … · RTV Slovenija · 1L

S covidom-19 se je okužil že februarja 2022, vse od takrat pa se koronavirusa ni mogel otresti. Zdravniki so mu skušali pomagati z različnimi zdravili, cepivi, a pomagalo ni nič. … · 24ur · 1L

V intervjuju iz arhiva spoznajte genetiko prihodnosti po besedah ruskega znanstvenika prof. dr. Pjotra Petroviča Garjajeva. Valovna genetika je nastala v dvajsetih letih prejšnjega stoletja. Začela se je z ugotovitvami … · Sensa · 1L

Švicarski farmacevtski gigant Roche bo od ameriškega biotehnološkega podjetja Roivant za 7,1 milijarde dolarjev (6,7 milijarde evrov) odkupil eksperimentalno zdravilo za želodec. Roche bo glede na dogovor prevzel podjetje Telavant … · Siol.net · 2L
farmacevtska industrija prevzemi crohnova bolezen roche farmacevti objavi tvitaj