
V Hrvaškem naravoslovnem muzeju v Zagrebu je na ogled razstava, posvečena enemu najpomembnejših primerkov iz muzejske zbirke - lobanji C. Lobanja je najpopolnejši in najbolj znani neandertalski fosil s svetovno … · Reporter · 2h
neandertalci krapina lobanja c objavi tvitaj

Prva premiera v novi gledališki sezoni je bil konec septembra uprizorjeni avtorski projekt Zadnji Hamlet režiserke Lee Kukovičič v koprodukciji Prešernovega gledališča in zavoda Bunker. Uprizoritev nastavi več intrigantnih idej, … · Gorenjski glas · 2L

Prejšnjo soboto so v Kovaškem muzeju v Kropi z odprtjem razstave Muzejski predmeti pripovedujejo zaznamovali njegovih sedemdeset let. O muzejskih zbirkah in njih pomenu sva se pogovarjala s kustosinjo in … · Gorenjski glas · 3L

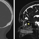
Ženska je po testu začela imeti težave z glavoboli, bruhanjem, kovinskim okusom v ustih, otrdelim vratom. Predrtje možganske pregrade in puščanje cerebrospinalne tekočine po korona testu pokazalo, da je test … · Planet lepote · 5L

Na veliki petek se kristjani spominjajo Jezusovega trpljenja in smrti na križu. V luči epidemije pa lahko ob vlogi križa v velikonočnih običajih v teh dneh razmišljamo tudi o križu … · RTV Slovenija · 5L