
Mučiti so ga začeli glavoboli za očesom, ki so vodili v resno diagnozo. 😕 V starosti 42 let je po enoletnem boju z rakom umrl komik in igralec Alex Duong … · Metropolitan.si · 4d

Z dobro higieno lahko učinkovito poskrbimo za dolgoročno zdravje vida. Pomlad nas iz zaprtih prostorov spravi ven, v naravo in bolj aktivno življenje, kar zahteva dodatno pozornost pri negi oči. … · Slovenske novice · 1t

Vsako leto 24. marca obeležujemo svetovni dan tuberkuloze, datum pa predstavlja zgodovinski mejnik iz leta 1882, ko je nemški zdravnik in mikrobiolog Robert Koch odkril povzročitelja te bolezni – bakterijo … · Dnevnik · 1t

Mravljinci, spremembe okusa ali dvojni vid niso vedno nedolžni. Lahko opozarjajo na poškodbo živcev v glavi, ki zahteva hitro ukrepanje. Poškodbe možganskih oziroma kranialnih živcev sodijo med stanja, ki jih … · Svet24 · 1t

Vnetje srednje plasti zrkla ostaja redka bolezen, vendar se število primerov narašča. Raziskave kažejo, da lahko vnetje nastopi od treh mesecev do desetih let po tetoviranju. Večja tetovaža in črno … · Dnevnik · 2t
science alert steroidne kapljice očesne bolezni tetoviranje imunološke bolezni izguba vida zdravljenje z imunomodulatorji vnetje zrkla oftalmologija zdravstvena tveganja objavi tvitaj

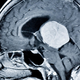
Britanec je leta spregledoval simptome, ki so kazali na tumor na možganih, dokler ga ni napad prisilil v nujno zdravljenje. Kot poroča index.hr , je 35-letni Craig Alexander več let … · Vizita.si · 2t
motnje vida vrtoglavica simptomi tumorja glavobol tumor na možganih objavi tvitaj

Redni očesni pregledi so ključni za zgodnje odkrivanje bolezni, ki pogosto poteka brez bolečin in opaznih znakov. Glavkom ali zelena mrena je skupina očesnih bolezni, ki postopoma poškodujejo vidni živec … · Slovenske novice · 2t
glavkom odkritje bolezni vidno polje diagnostika očesni pritisk objavi tvitaj