
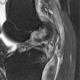
Poškodba, ki jo mnogi poznajo kot 'strganje križnih vezi', je ena najpogostejših resnih poškodb kolena pri športnikih in rekreativcih. Kot navaja UKC Ljubljana , pretrganje sprednje križne vezi nastane zaradi …
Vizita.si · 1M
poškodba kolenapretrganje križne vezirehabilitacija kolenašportne poškodbezdravljenje vezi

Tina Maze je v Cortini d'Ampezzo po olimpijskem smuku, na katerem je grdo padla ameriška zvezdnica Lindsey Voon, dejala, da sama v primeru podobne poškodbe kolena ne bi niti pomislila, …
Slovenske novice · 1M
lindsey vonnpoškodbamarko macuraalpsko smučanjetravmatologijatina mazešportne poškodbe

Po odmevnem padcu ameriške smučarske šampionke Lindsey Vonn na olimpijskem smukaškem tekmovanju v Italiji je travmatolog Marko Macura, vodja Oddelka za športne poškodbe in artroskopske dejavnosti na kliničnem oddelku za …
Sportklub · 1M

Lindsey Vonn se je kljub izdatno povečanemu tveganju za nove poškodbe odločila spopasti z olimpijsko smukaško progo v Cortini. Posledice so bile katastrofalne. Ameriška smučarska zvezdnica Lindsey Vonn (41) je …
Žurnal24 · 1M
lindsey vonnkolenomarko macurapadecukc ljubljananesrečakrižna vezzlom nogeoperacija

Po odmevnem nedeljskem padcu ameriške smučarske šampionke Lindsey Vonn na olimpijski smukaški tekmi se je znova odprlo vprašanje resnosti poškodb kolena, s katerimi se srečujejo vrhunski in rekreativni športniki. Kaj …
24ur · 1M

Po grdem padcu Lindsey Vonn na smukaški preizkušnji olimpijskih iger v Cortini in najrazličnejših komentarjih na to temo, je o teži njene poškodbe (strgane kolenske križne vezi) spregovoril Marko Macura, …
Siol.net · 1M
lindsey vonnmilano cortina 2026poškodbamarko macurazimske olimpijske igreukc ljubljana

Po hudem padcu ameriške smučarke Lindsey Vonn na sobotnem olimpijskem smuku v Cortini d'Ampezzo so na UKC Ljubljana pojasnili, kdaj in zakaj pride do takšnih zdravstvenih težav. Travmatolog in vodja …
Večer · 1M

Padec, poškodba in strgane kolenske križne vezi Lindsey Vonn so v športnem svetu še vedno zelo aktualna tema. Kaj pravzaprav pomeni strgana kolenska vez in kako je Vonn lahko sploh …
RTV Slovenija · 1M
poškodbalindsey vonnvonnolimpijske igrealpsko smučanjemarko macurasmuktravmatologmacura